長期間にわたる努力の末に理想的な歯並びを手に入れた後、最後の重要なステップのひとつが、リテーナー(保定装置)の使用です。
リテーナーは、矯正治療で整えた歯並びをそのまま維持するために欠かせない存在です。
今回は、リテーナーの重要性、種類、使用方法、注意点などについて説明していきます。
リテーナーの役割
矯正治療後、歯はすぐに新しい位置に定着するわけではありません。
歯根や歯槽骨は時間とともに再構築されるため、少しでも不安定な状態が続くと歯が元の位置に戻ろうとする力が働きます。
この現象を「後戻り」と呼びます。
リテーナーは、矯正治療後のこの「後戻り」を防ぐ役割を果たします。
リテーナーを着けることで、歯の動きを固定し、骨や歯茎が新しい状態に適応するための時間を確保することができます。
リテーナーの種類
リテーナーにはいくつかの種類があり、患者の状態や治療方針によって適切なものが選ばれます。
リテーナーには以下の2つがあります。
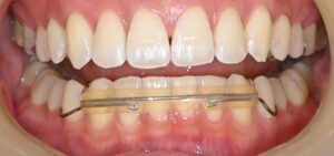
1. 固定式リテーナー
固定式リテーナーは、歯の裏側に薄いワイヤーを貼り付けて、歯を固定するタイプです。
主に前歯の後戻りを防ぐために使用されます。
このリテーナーは取り外しができませんが、見た目にほとんど影響がなく、日常生活に支障をきたしにくいという利点があります。
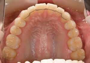
2. 取り外し可能なリテーナー
取り外し可能なリテーナーは、ワイヤーにより維持されるものや、透明なマウスピースタイプのものがあります。
取り外しできることにより、お食事や歯磨きがしやすくなりますが、いずれも装着時間を守らなければ後戻りのリスクがあります。
取り外し可能なリテーナーには以下のタイプがあります。

リテーナーの使用方法
リテーナーを使用する際には、以下の基本的な注意点を守ることが重要です。
-
指示された時間を守る
リテーナーは、矯正治療後に指定された期間、指定された時間使用する必要があります。
多くの場合、最初の1年間は24時間装着(食事や歯磨きの際に外すのみ)と指示されることが一般的です。
その後、使用時間が少しずつ減少することもありますが、定期的な装着が後戻りを防ぐために不可欠です。
-
適切に清掃する
リテーナーは清潔に保つことが大切です。
食べ物の残りや汚れが付着すると、細菌が繁殖する原因になります。
取り外し可能なリテーナーは、毎日歯ブラシ等でよく洗い、清潔に保ちましょう。
固定式リテーナーも歯磨きをしっかり行い、汚れが溜まらないように注意してください。
-
破損しないように注意
リテーナーは繊細なため、噛み入れたり、無理に外したりすると破損することがあります。
歯ぎしりが強い方もマウスピースがすり減るリスクがあるため注意が必要です。
また、職場・学校、外食時などでリテーナーを外したまま紛失してしまうことがあります。
外したあと必ずケースに入れる習慣をつけ、紛失しないよう気を付けましょう。
-
定期的なチェック
リテーナーの状態を定期的にチェックしてもらうことが大切です。
長期間使用することになるため、リテーナーのフィット感や摩耗など、問題がないか確認してもらいましょう。
リテーナーを使わないとどうなる?
リテーナーを正しく使用しないと、歯が元の位置に戻ろうとする力が働き、歯並びが後戻りしてしまう可能性があります。
後戻りは治療前の状態に戻ってしまうだけではなく、最初の矯正治療にかけた時間と費用が無駄になってしまうこともあります。
リテーナーの使用は、歯並びを保つために絶対に必要なステップです。
矯正治療が終わっても油断せず頑張りましょう。
まとめ
矯正治療が終わった後も、リテーナーを使って歯並びを維持することは非常に重要です。
リテーナーを正しく使い続けることで、綺麗に整えた歯並びを長期間にわたりキープすることができます。
リテーナーにはいくつかの種類があり、それぞれの特徴を理解し、自分に最適なものを選んで使うことが大切です。
歯並びの後戻りを防ぐためにも、リテーナーの使用時間を守り、日々のケアを欠かさないようにしましょう。