〒407-0015 山梨県韮崎市若宮1丁目2-50
韮崎市民交流センター(ニコリ)3F

ニッコリ矯正歯科クリニックのトピックス|山梨県韮崎市の矯正治療専門医院

ニッコリ矯正歯科クリニックのトピックス|山梨県韮崎市の矯正治療専門医院ニッコリ矯正歯科クリニックのトピックス|山梨県韮崎市の矯正治療専門医院

トピックス TOPICS

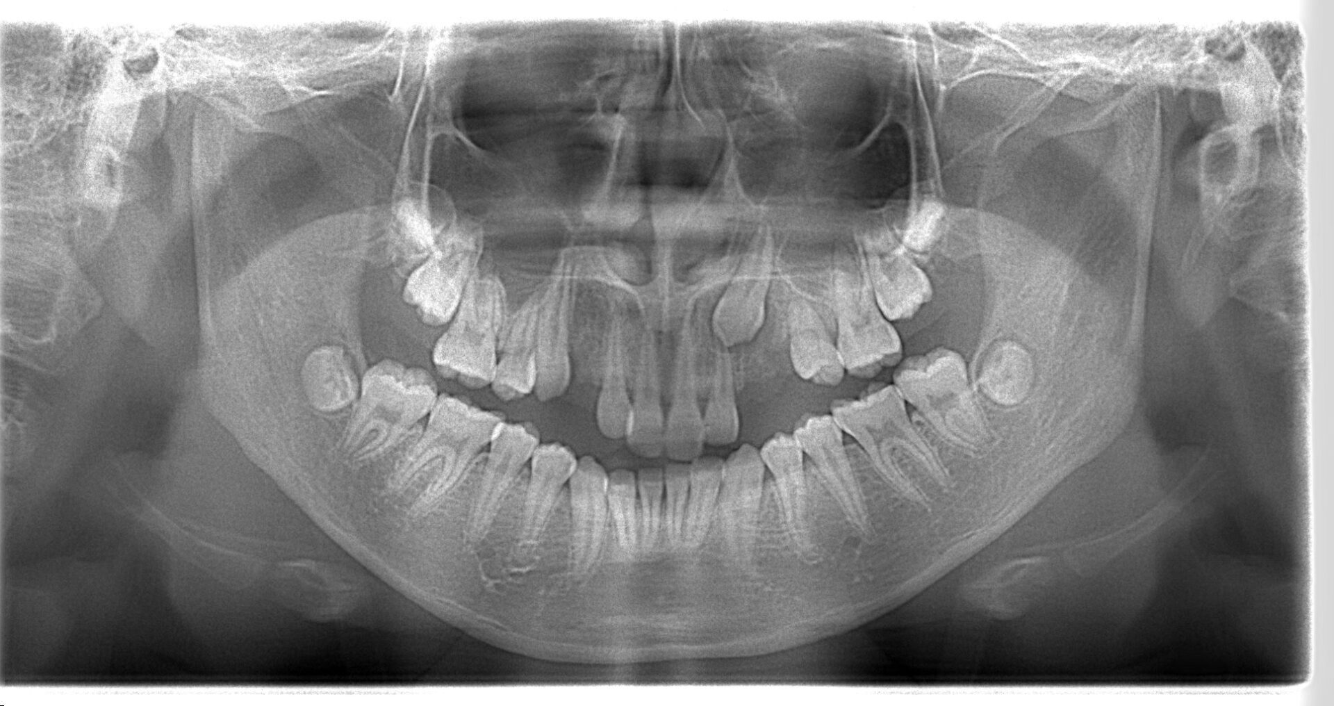
不正咬合が咀嚼機能に与える影響とは?噛み合わせの大切さ

2026年5月12日

「しっかり噛めていない気がする」 「食事に時間がかかる」「片側でばかり噛んでしまう」 このようなお悩みの背景に、不正咬合が関係して…[read more]

抜歯後の隙間はいつ閉じる?マウスピースとワイヤーの移動量・期間の違いを解説

2026年4月28日

矯正治療で抜歯を行った際、「隙間はどれくらいで閉じるのか?」という疑問に加えて、「マウスピースとワイヤーでスピードは違うのか?」と気に…[read more]

被せ物があっても歯並びは整えられる?矯正前に知っておきたいポイント

2026年4月21日

「差し歯があるけれど歯並びを整えたい」 「被せ物が入っていると矯正は無理なのでは?」 このような疑問をお持ちの方は少なくありません…[read more]

矯正後に噛み合わせが合わないと感じるのはなぜ?一時的なズレと対処法

2026年4月15日

「矯正が終わったのに、なんか噛み合わせがおかしい…」 そう感じて、不安になっている方は少なくありません。 矯正治療は歯並び…[read more]

マウスピース型矯正装置は1日何時間つける?装着時間の目安と守れない場合の影響

2026年4月14日

「マウスピース矯正って、正直どのくらいつければいいの?」 そう思いながら、なんとなく装着時間を守れていない方は意外と多いです…[read more]