矯正治療で抜歯を行った際、「隙間はどれくらいで閉じるのか?」という疑問に加えて、「マウスピースとワイヤーでスピードは違うのか?」と気になる方も多いです。
結論として、抜歯スペースが閉じるまでの期間は6か月〜1年程度が目安であり、使用する装置によって移動の仕方やスピードに違いがあります。
■ 抜歯後の隙間が閉じるまでの流れ
- 歯並びの初期整列
- 抜歯スペースを閉じる(スペースクローズ)
- 噛み合わせの最終調整
※抜歯後すぐに隙間を閉じるのではなく、全体のバランスを整えながら進めます。
■ マウスピースとワイヤーの移動量の違い
歯の移動スピードは装置によって少し特徴があります。
◎マウスピース矯正
- 1枚あたりの移動量:約0.25mm
- 1か月:約0.5〜1.0mm(交換頻度による)
マウスピースは少しずつ段階的に歯を動かすため、比較的コントロールしやすく、痛みも穏やかな傾向があります。
ただし、装着時間(1日20時間以上)が守られないと計画通りに進みません。

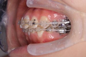
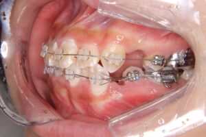
◎ワイヤー矯正
- 1か月:約0.5〜1.5mm程度
ワイヤー矯正は持続的に力がかかるため、ケースによってはマウスピースより効率よく動くこともあります。
特に抜歯スペースをしっかり閉じる動きは得意とされています。

■ 抜歯スペースが閉じる期間の目安
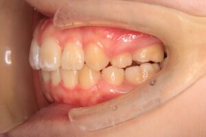
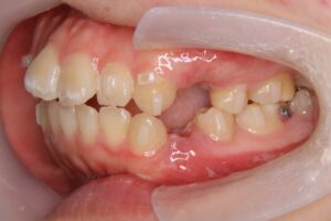
抜歯でできる隙間は通常6〜8mm程度です。
これをもとにすると…
- マウスピース矯正:約6か月〜1年程度
- ワイヤー矯正:約4か月〜1年程度
※実際には「どの歯をどれくらい動かすか」によって大きく変わります。
■ 期間に影響するポイント
- 年齢や骨の状態
- 歯の移動距離・方向
- 抜歯部位
- 装置の種類
- 装置の使用状況(特にマウスピース)
■ 注意点
無理に早く動かそうとすると、歯根や歯ぐきに負担がかかるため、適切なスピードでの移動が最も安全で確実です。
また、見た目上隙間が閉じても、内部の骨や歯の位置が安定するまでには時間がかかるため、保定も重要です。
■ よくある質問(FAQ)
Q1. マウスピースの方が遅いですか?
A. 必ずしも遅いわけではありませんが、装着時間に大きく左右されます。しっかり使用できればワイヤーと大きな差が出ないこともあります。
Q2. ワイヤーの方が確実に早いですか?
A. 症例によります。特に抜歯スペースを閉じるような大きな移動は、ワイヤーの方が効率的な場合があります。
Q3. 早く閉じるコツはありますか?
A. マウスピースの場合は装着時間を守ることが最も重要です。ワイヤーの場合も定期的な通院が大切です。
Q4. 隙間が閉じたら終わりですか?
A. いいえ。最終調整と保定期間が必要です。ここを怠ると後戻りのリスクがあります。
■ まとめ
抜歯スペースが閉じる期間は6か月〜1年程度が目安です。
マウスピースは計画的でコントロールしやすい動き、ワイヤーは力強く効率的な動きが特徴です。
どちらにもメリットがあるため、ご自身のライフスタイルや症例に合わせて適切な方法を選ぶことが大切です。