矯正治療では、歯の位置や生え方に関する問題を総合的に診断します。
その中でも、治療の流れや期間に大きな影響を与えるのが 埋伏歯(まいふくし) です。
埋伏歯とは、本来であれば生えてくるはずの歯が、骨の中に埋まったまま生えてこない状態を指します。
特に矯正治療では、犬歯や前歯が生えてこない場合にこの埋伏が見つかることが多く、早期発見の有無が治療の難易度を大きく左右します。
埋伏歯が起こる主な原因
埋伏歯の原因は1つではなく、複数の要因が重なる場合があります。
● 歯の生えるスペース不足
永久歯が萌出するためには一定のスペースが必要ですが、歯並びがガタガタしていたり顎が小さかったりすると、生える位置を失い、骨の中で止まってしまいます。
● 萌出方向の異常
永久歯が斜めや横向きに傾いていると、正しい方向へ生えてこられません。
● 過剰歯が邪魔している
埋伏歯の背後に余分な歯(過剰歯)があり、通り道を塞いでしまうケースがあります。
● 乳歯の生え替わりの遅れ
乳歯が長く残っていたり、逆に早く抜けてしまうことが、永久歯の萌出を妨げることもあります。
● 遺伝的要因
家族内に埋伏歯が多い傾向があることも知られており、遺伝が関与している可能性があります。
埋伏歯の代表例「犬歯の埋伏」
矯正治療で最も問題になりやすいのが 上顎犬歯の埋伏 です。
犬歯は歯並びと噛み合わせの安定に欠かせない歯のため、生えてこないまま放置すると以下のようなトラブルが起こります。
-
前歯が並びきらない
-
奥の歯との噛み合わせが不安定になる
-
隣の歯の根を押し、歯根吸収(歯の根が溶ける現象)を起こす
-
審美的な問題が残る
そのため、犬歯の萌出異常は早期のレントゲン診断が特に重要です。
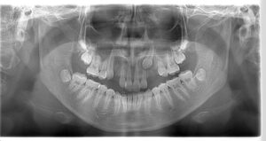
埋伏歯の診断方法

埋伏歯は外から見えないため、以下の検査が必要です。
-
パノラマレントゲン:全体の歯の位置を把握
-
CT撮影:位置・方向・深さを三次元で正確に確認
-
口腔内検査:歯の状態・骨隆起の有無を確認
特にCTは、牽引の難易度やリスクを判断するための重要な資料となります。
埋伏歯の矯正治療
埋伏歯が見つかった場合、治療方針は 「その歯を引き出す(牽引)」 または 「残す・抜く」 の選択になります。
矯正治療では、多くの場合 牽引(歯を引き出す処置) を行います。
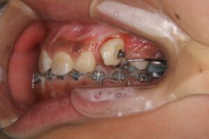
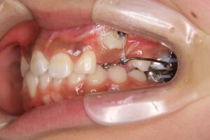
● 牽引治療の流れ
-
口腔外科で歯ぐきを切開し、埋伏歯の一部を露出させる
-
露出した埋伏歯に小さな装置(ボタン)を付ける
-
矯正装置のワイヤーとゴムの力でゆっくり口腔内へ引き出す

牽引には数ヶ月〜1年以上かかることもあり、治療全体の期間に影響します。
● 痛みについて
牽引はゆっくり弱い力で進めるため、通常の矯正と同じ程度の違和感で済むことが多いです。
牽引できないケースとは?
以下のような場合、牽引が難しい判断となることがあります。
-
歯が非常に深い位置にある
-
歯の方向が大きく逸れている
-
隣の歯の根がすでに吸収されている
-
埋伏歯が歯として機能しない形態をしている
その際は、抜歯や別の補綴処置を検討することもあります。
埋伏歯と矯正のタイミング
埋伏歯の治療は 早期発見が最大のポイント です。
小学生〜中学生の成長期であれば、歯が動くスピードが速く、牽引の成功率も高まります。
以下の症状がある場合は早めの相談がおすすめです。
-
永久歯が生えてこない
-
左右の歯の萌出時期に大きな差がある
-
乳歯が長く残っている
-
歯ぐきが膨らんでいる
埋伏歯を放置した場合のリスク
埋伏歯は自然に改善することが少なく、放置すると次の問題が発生します。
-
歯列が乱れる
-
噛み合わせが不安定になる
-
隣の歯の根吸収
-
囲まれた嚢胞(のうほう)の形成
-
審美的な問題
早めの診断と治療により、これらのリスクを大幅に回避できます。
よくあるQ&A
Q1. 埋伏歯とは何ですか?
A. 骨の中にとどまってしまい、正常な位置に生えてこない歯のことを指します。上顎の前歯や犬歯に多く見られます。
Q2. 牽引治療はどのように行うのですか?
A. 小さな手術で埋伏歯に装置(ボタン)を付け、矯正装置で少しずつ引っ張り出してきます。痛みは軽度で、ほとんどの方が数日で慣れます。
Q3. 治療期間はどれくらいですか?
A. 埋伏歯の位置によって大きく異なりますが、一般的には 数ヶ月〜1年程度かけてゆっくりと歯を引き出します。
Q4. 牽引している間、学校生活に支障はありますか?
A. 多くの場合、普段の生活に支障はありません。運動や食事も基本的に問題なく行えます。
Q5. 埋伏歯の牽引は子どもでもできますか?
A. はい、特に10〜14歳頃の成長期は骨が柔らかく動きやすいため、牽引に適した時期です。
Q6. 引っぱり出した後はどうなりますか?
A. 正しい位置まで誘導した後、他の歯と同じように並べて咬み合わせを整えます。その後は通常の矯正治療と同様に仕上げていきます。
Q7. 埋伏歯をそのままにしておくとどうなるの?
A. 隣の歯の根を圧迫したり、嚢胞(袋状の病変)ができたり、将来の歯並びが大きく乱れる可能性があります。早めに診断することが大切です。
Q8. CT撮影は必要ですか?
A. 埋伏歯の正確な位置と向きを把握するため、CT撮影は非常に有効です。安全で確実な牽引計画に欠かせません。
まとめ
埋伏歯は矯正治療の難易度を高める要因ではありますが、適切な診断と計画により、正しい位置へ導きしっかり機能させることができます。
特に成長期の子どもでは改善できる可能性が大きく、早期発見が最も重要なポイントです。
永久歯がなかなか生えてこない、左右差がある、乳歯が残っているなど気になる点があれば、早めに矯正専門医へ相談することで将来の治療負担を軽減できます。